Caso de homem que descobriu ter só a metade do cérebro após sintoma comum nas pernas volta às redes
Ele chegou a ir ao hospital duas semanas depois dos primeiros sintomas começarem
Um homem, cuja identidade não foi identificada, vivia uma vida normal no sul da França até começar a sentir fraqueza leve e dor na perna esquerda.
Leia também
• Tudo o que se sabe até agora sobre o novo coronavírus com "potencial pandêmico"
• Madeira, vidro ou plástico, qual é a melhor tábua para você usar em casa? E saiba como higienizá-las
• Com 300 casos por 100 mil habitantes, SP entra em epidemia de dengue
Ele chegou a ir ao hospital duas semanas depois dos primeiros sintomas começarem.
O problema é que o sintoma é comum e pode ser causado por inúmeros fatores, como: uso excessivo devido a exercícios, má circulação, danos nos nervos causados por condições como diabetes (neuropatia periférica), problemas na coluna como hérnia de disco, perda muscular relacionada à idade e condições médicas graves como derrame ou esclerose múltipla.
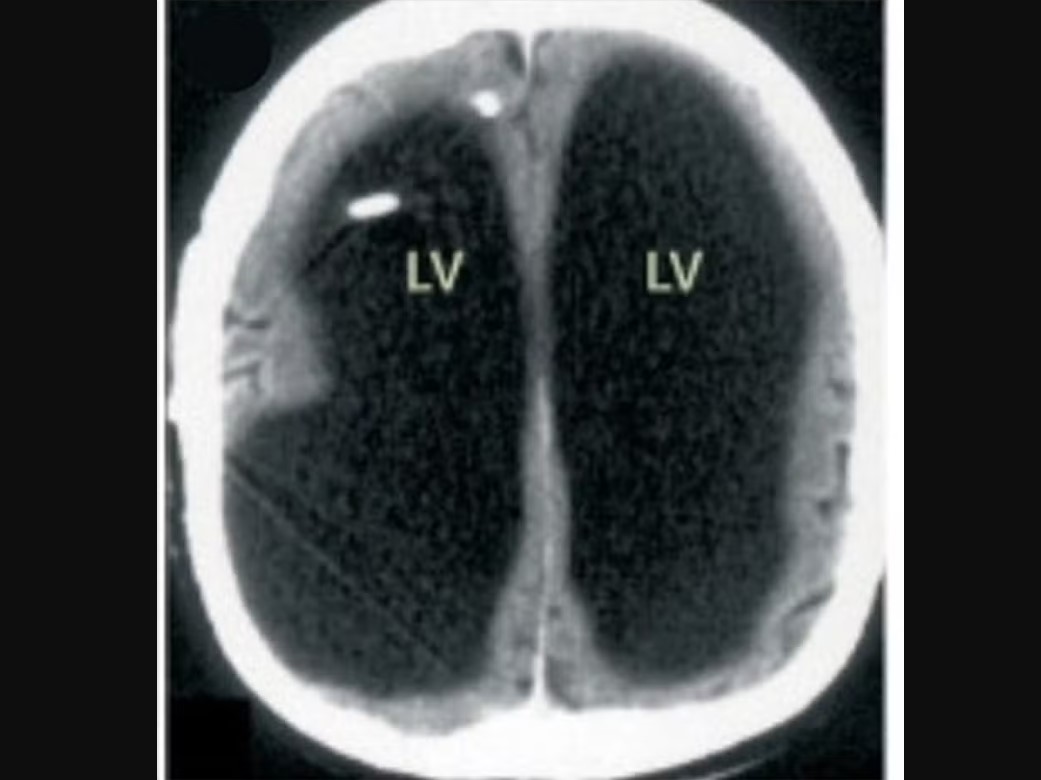
Depois que os médicos realizaram tomografias e ressonâncias, pois acreditavam que o paciente pudesse ter uma condição neurológica que estava afetando suas terminações nervosas, descobriram que, diferente do que pensavam, ele na verdade tinha uma enorme bolsa de líquido onde seu cérebro deveria estar.
Nas imagens de seu cérebro, compartilhadas com o periódico médico The Lancet, a parte principal de sua área cerebral aparece preta, que é onde havia acúmulo de fluido.
Isso fez com que seu cérebro se espremesse em uma camada estreita, que pressionava a borda do crânio.
Ele então foi diagnosticado com um caso grave de hidrocefalia. Os médicos então voltaram para ver o histórico médico do paciente. Aos seis meses de idade, ele passou por uma derivação ventrículo-atrial devido a uma causa desconhecida.
Uma derivação ventrículo-atrial é um dispositivo cirúrgico que trata a hidrocefalia — uma condição em que há muito líquido cefalorraquidiano no cérebro — desviando o excesso de líquido para o coração.
Aos 14 anos, ele desenvolveu ataxia (baixo controle muscular) e paresia (perda parcial da força muscular) na perna esquerda.
A derivação foi ajustada, o que resolveu completamente seus sintomas. Entretanto, os sinais ressurgiram na idade adulta e os médicos determinaram que ele tinha um tipo de hidrocefalia causada por um bloqueio em uma das vias de drenagem do cérebro.
Apesar do caso ter sido relatado em 2007, ele voltou recente nas redes sociais. Lionel Feuillet, neurologista da Universidade Mediterrânea de Marselha, disse na época em que o relato do caso foi publicado que a equipe médica ficou “muito surpresa quando o paciente foi examinado pela primeira vez na tomografia computadorizada.
O cérebro era muito menor que o normal. Este caso é único em nosso conhecimento”, diz.
Após o tratamento, no qual os médicos criaram uma nova rota de drenagem para o fluido, o homem se recuperou completamente, embora exames de acompanhamento não tenham mostrado nenhuma alteração no tamanho de seu cérebro.

